Киянам запропонували зробити безкоштовну флюорографію
Київ • УНН
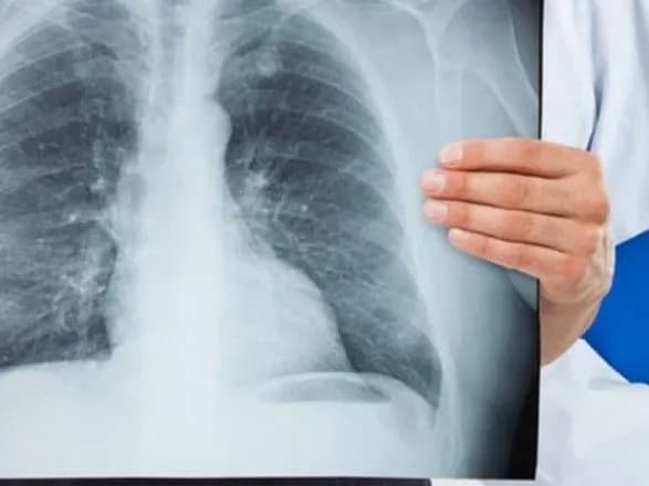
КИЇВ. 21 березня. УНН. До Всесвітнього дня боротьби з туберкульозом кияни зможуть безкоштовно обстежитись на пересувних флюорографах. Про це повідомляє прес-служба КМДА, передає УНН.

Обстеження проведуть у восьми районах Києва з 22 по 31 березня.
У адміністраціх зазначили, що обстеження дає можливість раннього виявлення захворювань легень, включаючи туберкульоз, а також інших патологій грудної клітини.
Крім того, за наявності таких симптомів як кашель, що триває понад два тижні, підвищення температури, втрата апетиту, зниження маси тіла, посилене потовиділення, фахівці рекомендують звернутися до свого сімейного лікаря (терапевта, педіатра) та здати мокротиння на аналіз методом мікроскопії, щоб виключити діагноз туберкульоз.
Нагадаємо, алергологи розповіли, як уберегтися від алергії в останню декаду березня.

