Почав кашляти та задихатися: у Львові з бронхів чотирирічного хлопчика дістали лампочку від гірлянди
Київ • УНН
КИЇВ. 13 грудня. УНН. У Львові з бронхів чотирирічної дитини лікарі без жодного розрізу дістали світлодіодну лампочку від новорічної гірлянди. Про це повідомляє УНН із посиланням на Львівську обласну дитячу лікарню Охматдит.

Деталі
Інцидент стався, коли сім'я збиралася прикрашати ялинку. В якийсь момент чотирирічний хлопчик проковтнув світлодіодну лампочку з гірлянди, після чого почав кашляти та задихатися.
Батьки викликали швидку допомогу, яка привезла потерпілого до Львівської обласної дитячої лікарні Охматдит.
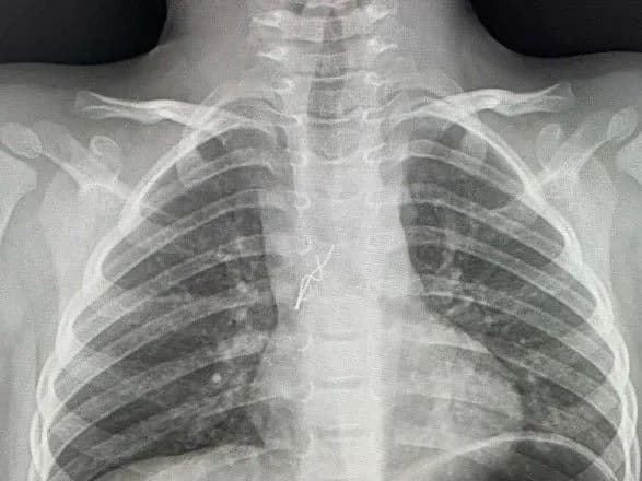
Лікарі зробили рентгтен і побачили стороннє тіло у дихальних шляхах. Діставали його з допомогою бронхоскопії, тобто без жодного розрізу.
"Гострими, направленими в різні сторони вусиками лампочка "дивилася" на мене. Вуса під час дихання травмували слизову оболонку в ділянці біфуркації трахеї, там уже утворилися дрібні крововиливи. Я захопив вусики щипцями і завів їх у тубус бронхоскопа, щоб під час видалення не травмувати ними бронхи і трахею. Разом з тубусом дістав лампочку з бронха дитини", — пояснив торакальний хірург Олександр Колодій.
ЧИТАЙТЕ ТАКОЖ: У Львові однорічна дівчинка проковтнула перстень із гострими краями: його діставали дві години
