Деталі
Інцидент стався, коли сім'я збиралася прикрашати ялинку. В якийсь момент чотирирічний хлопчик проковтнув світлодіодну лампочку з гірлянди, після чого почав кашляти та задихатися.
Батьки викликали швидку допомогу, яка привезла потерпілого до Львівської обласної дитячої лікарні Охматдит.
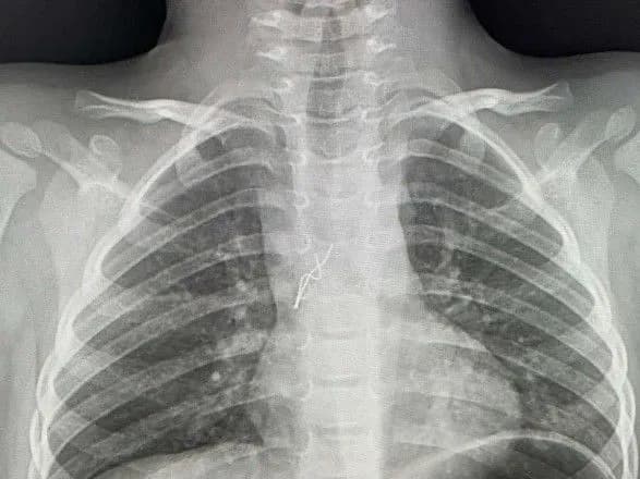
Лікарі зробили рентгтен і побачили стороннє тіло у дихальних шляхах. Діставали його з допомогою бронхоскопії, тобто без жодного розрізу.
"Гострими, направленими в різні сторони вусиками лампочка "дивилася" на мене. Вуса під час дихання травмували слизову оболонку в ділянці біфуркації трахеї, там уже утворилися дрібні крововиливи. Я захопив вусики щипцями і завів їх у тубус бронхоскопа, щоб під час видалення не травмувати ними бронхи і трахею. Разом з тубусом дістав лампочку з бронха дитини", — пояснив торакальний хірург Олександр Колодій.
ЧИТАЙТЕ ТАКОЖ: У Львові однорічна дівчинка проковтнула перстень із гострими краями: його діставали дві години
