Деталі
Повідомлення про неврологічних ускладнення у пацієнтів з COVID-19 і тих, у кого симптоми зберігаються після зникнення інфекції, стають все більш поширеними, що свідчить про те, що SARS-CoV-2 (вірус, що викликає COVID-19) може чинити тривалий вплив на функціонування мозку. Однак ще не зовсім зрозуміло, як вірус призводить до неврологічних проблем, наголошується в звіті.
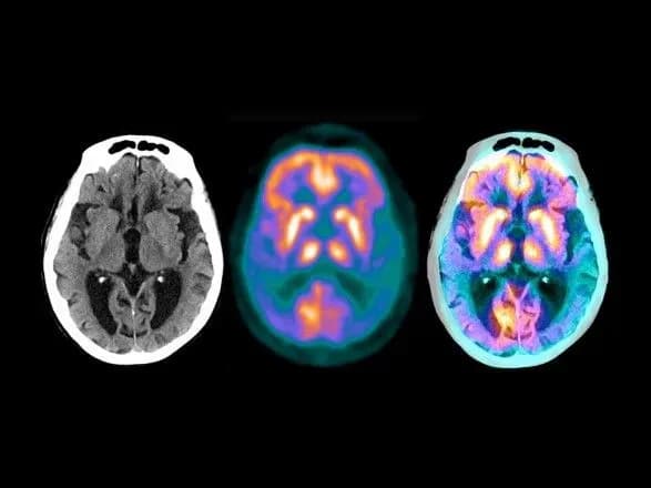
У своєму дослідженні вчені за допомогою штучного інтелекту вивчили дані пацієнтів з хворобою Альцгеймера і COVID-19. Вони виміряли близькість між генами/білками пацієнтів з SARS-CoV-2 і генами, пов'язаними з декількома неврологічними захворюваннями, де більша близькість передбачає наявність пов'язаних або спільних шляхів захворювання. Дослідники також проаналізували генетичні фактори, які дозволили SARS-COV-2 інфікувати тканини і клітини мозку.
"Хоча дослідники виявили мало доказів того, що вірус націлений безпосередньо на мозок, вони виявили тісні мережеві зв'язки між вірусом і генами/білками, пов'язаними з декількома неврологічними захворюваннями, передусім з хворобою Альцгеймера, вказуючи на шляхи, за якими COVID-19 може призвести до деменції, подібної до хвороби Альцгеймера", - йдеться в повідомленні.
Далі вчені досліджували потенційний зв'язок між COVID-19 і нейрозапаленням і пошкодженням мікросудин головного мозку, які є відмінними ознаками хвороби Альцгеймера.
"Ми виявили, що інфекція SARS-CoV-2 значно змінила маркери хвороби Альцгеймера, залучені в запалення мозку", - вказав провідний автор дослідження доктор Фейсюн Чен.
"Ці дані показують, що вірус може впливати на кілька генів або шляхів, що беруть участь в нейрозапаленні і пошкодженні мікросудин головного мозку, що може призвести до когнітивних порушень, подібних до хвороби Альцгеймера", - додав він.
Дослідники також виявили, що у людей з аллелем APOE E4/E4, найбільшим генетичним фактором ризику хвороби Альцгеймера, знижена експресія генів противірусного захисту, що може зробити цих пацієнтів більш сприйнятливими до COVID-19.
"У підсумку, ми сподіваємося прокласти шлях для досліджень, які приведуть до біомаркерів, що піддаються тестуванню і вимірюванню, які можуть ідентифікувати пацієнтів з найвищим ризиком неврологічних ускладнень з COVID-19", - резюмував доктор Чен.
Доповнення
Патологоанатоми з медичного комплексу в Нью-Йорку The Mount Sinai Hospital, в епіцентрі глобальної пандемії COVID-19 торік, підготували один з найбільших і всебічних аналізів розтинів жертв COVID-19, відкривши безліч нових подробиць про хворобу. Так, при дослідженні мозку в певній кількості випадків були виявлені мікротромби з невеликими і неоднозначними ознаками загибелі тканин, викликаної закупоркою кровоносних судин як в периферичних, так і в глибоких частинах мозку. Ці дрібні мікроінфаркти можуть пояснити деякі психологічні зміни, що спостерігаються у деяких пацієнтів з позитивною реакцією на COVID-19, вказували тоді дослідники.
